Bay Dental Center – Offering General and Cosmetic Dentistry in Lawndale and Torrance

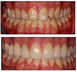
Welcome to the Bay Dental Center. Here at the office of Dr. Sunen Pandya, DDS, we specialize in designing spectacular smiles through both general and cosmetic dentistry. We offer a full range of safe and affordable procedures, modern technology, and dental expertise, we create the ultimate dental experience.

Bay Dental team is highly educated and trained on all dental procedures and can consult with you for the best course of treatment for your dental needs.

Dr. Pandya is a general family dental practitioner serving Lawndale and Torrance area. Dr. Pandya brings extensive experience and a caring chairside manner to his Lawndale dental practice.

Read More

 

Dental Procedure


  • Bridges
  • Crowns
  • Dentures
  • Fillings
  • Hygiene
  • Implants
  • Inlays
  • Invisalign
  • Periodontics
  • Veneers
  • Root canal
  • Oral Surgery
  • Orthodontics
  • Whitening

Read More about Procedures »

Featured Procedure


Dental Implant

  • Improve appearance
  • Improve your smile
  • Improve comfort
  • Improve self-esteem
  • Improve hygiene

Read More about Dental Implant »